MRI (magnetic resonance imaging)
자기공명영상 (MRI)은 신경과학에서 가장 널리 사용되는 영상 촬영 기법이다. 이 기법은 강한 자기장과 추가 자기장 및 전파를 결합하여 뇌의 이미지를 생성하는 비침습적 기법 (non-invasive)이다. MRI는 뇌의 해부학, 기능 및 연결성을 연구하는 데 사용된다. 또한 심장, 근육, 관절과 같은 신체의 다른 부위를 연구하는 데도 사용되며, 진단 정보를 제공할 수 있어 임상 의학에서 널리 사용된다.
인지 신경과학에서 MRI는 뇌의 기능을 연구하는 데 가장 널리 사용된다. 이를 기능적 MRI (fMRI)라고 한다. fMRI는 뇌의 산소화 헤모글로빈 (oxygenated hemoglobin)과 탈산소화 (deoxygenated) 헤모글로빈의 비율에 민감한 특정 방식으로 MR 이미지를 촬영하는 것을 기반으로 한다. 이 비율을 혈중 산소 수준 의존 신호 (blood oxygenation level dependent, BOLD)라고 한다. 뇌 영역이 더 활발해지고, 특히 다른 영역으로부터 상당한 입력 (수술할 정보)을 받을 때, 이러한 뉴런을 공급하는 작은 혈관 (모세혈관, tiny blood vessels, capillaries)이 확장 (dilate)되어 해당 영역의 산소화된 혈액의 양이 증가한다. fMRI는 이러한 변화에 민감하기 때문에 신경 활동의 간접적인 척도로 작용한다.
fMRI 외에도 MRI는 뇌의 구조를 연구하는 데에도 사용된다. 이를 구조적 (structural) MRI (sMRI)라고 한다. sMRI는 뇌의 물의 양에 민감한 MR 이미지를 촬영하는 다른 방식을 기반으로 한다. 특히, 뇌의 다양한 조직, 특히 회백질 (grey matter, 대뇌 피질을 포함한 뉴런의 밀집 영역), 백질 (white matter, 다른 뇌 영역을 연결하는 장거리 축삭), 뇌척수액 (cerebrospinal fluid, CSF, 뇌가 떠다니는 액체)은 물의 밀도가 다르다. sMRI는 이러한 차이에 민감하기 때문에 뇌에서 이러한 다양한 조직의 양을 간접적으로 측정하는 지표로 작용한다. sMRI는 대뇌 피질의 두께, 다양한 뇌 영역의 부피를 측정하고 피질의 접힘 패턴을 정량화하고 비교하는 데에도 사용할 수 있다. 또, 다른 유형의 구조적 측정은 뇌의 물 확산량과 방향에 민감한 확산 (diffusion) MRI (dMRI)를 기반으로 한다. dMRI는 백질관의 무결성을 측정하는 데 사용할 수 있으며, 뇌를 통한 섬유관 추적(MRI 트랙토그래피)에도 사용할 수 있다.
데이터 과학 관점에서 MRI 데이터는 이미지 데이터의 한 유형이다. 이미지는 위치가 공간적 위치를 나타내는 행렬이다. 가장 간단한 MRI 이미지는 2D 배열로, 일반적으로 몇 밀리미터 두께의 뇌를 통과하는 슬라이스이다. 슬라이스는 2D 배의 강도 값은 서로 다른 위치에서 신호를 나타낸다. 배열의 각 값은 voxel (볼륨이 있는 픽셀)을 나타낸다. voxel은 일반적으로 한 변에 0.5~4mm이다. 슬라이스 스택은 3D 배열 (볼륨)로 표현할 수 있다. fMRI 이미지는 시간이 지남에 따라 일련의 3D 뇌 볼륨을 캡처하기 때문에 실제로는 4D 배열이다.
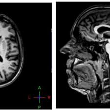
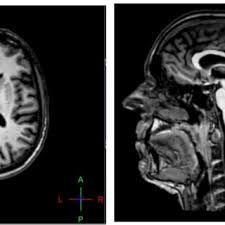
MRI 이미지의 값은 해당 위치의 이미지 강도를 나타낸다. sMRI의 경우 이 값은 해당 위치의 뇌 물 밀도를 효과적으로 나타냅니다. 이러한 값을 회색조에 색으로 표시하면 뇌의 구조를 볼 수 있다. 예를 들어, 다음은 뇌를 가로지르는 단면이다.

'Brain Engineering > MRI' 카테고리의 다른 글
| MRI vs fMRI (0) | 2023.06.15 |
|---|